- 診断機器
- 3次元眼底像撮影装置
3D OCT-1(Type: Maestro2)
フルオートOCT&眼底カメラ
Maestro2はタッチ操作でカラー眼底写真とOCT像撮影が可能、
更にOCT-Angiography撮影機能、そのほか様々な撮影アシスト機能も搭載したOCTです。

主な特徴
- フルオートOCT+眼底カメラ
- 明瞭なOCT+カラー眼底像
- 360°回転式コントロールパネル
- ワンタッチ操作でフルオート撮影
- わかりやすいレポート表示
- フルオートOCT-A撮影
- AIデノイズによる高画質OCT-A画像
- 前眼部撮影機能
明瞭なOCT&カラー眼底画像

画像提供:Dr. Patrick SPORTIELLO, MD,FEBO, Ophthalmology Practice, Issoire, France
50,000 A-scans/秒のスキャンで明瞭なB-scan画像を撮影でき、網膜層の確認が3D画像でもB-scan画像でも行えます。さらにカラー眼底撮影機能を搭載しているため、OCTと同時に眼底画像も取得することが可能です。
充実した経過観察サポート機能

フォローアップ撮影
前回撮影したOCT像と同じ位置を撮影することができます。経過観察において、日付の異なる撮影画像を並べて表示でき、過去と現在の同じ位置のOCT 像を比較・観察することができます。
トレンドビュー
過去の撮影データを時系列に並べて、時間経過に伴う層厚の変化を観察することが可能です。結果画像エリアでは、撮影画像と解析結果を表示します。グラフ表示エリアには、過去から最新の撮影データの解析結果に基づく層の厚みを回帰直線で表示します。
前回撮影したOCT像と同じ位置を撮影することができます。経過観察において、日付の異なる撮影画像を並べて表示でき、過去と現在の同じ位置のOCT 像を比較・観察することができます。
トレンドビュー
過去の撮影データを時系列に並べて、時間経過に伴う層厚の変化を観察することが可能です。結果画像エリアでは、撮影画像と解析結果を表示します。グラフ表示エリアには、過去から最新の撮影データの解析結果に基づく層の厚みを回帰直線で表示します。
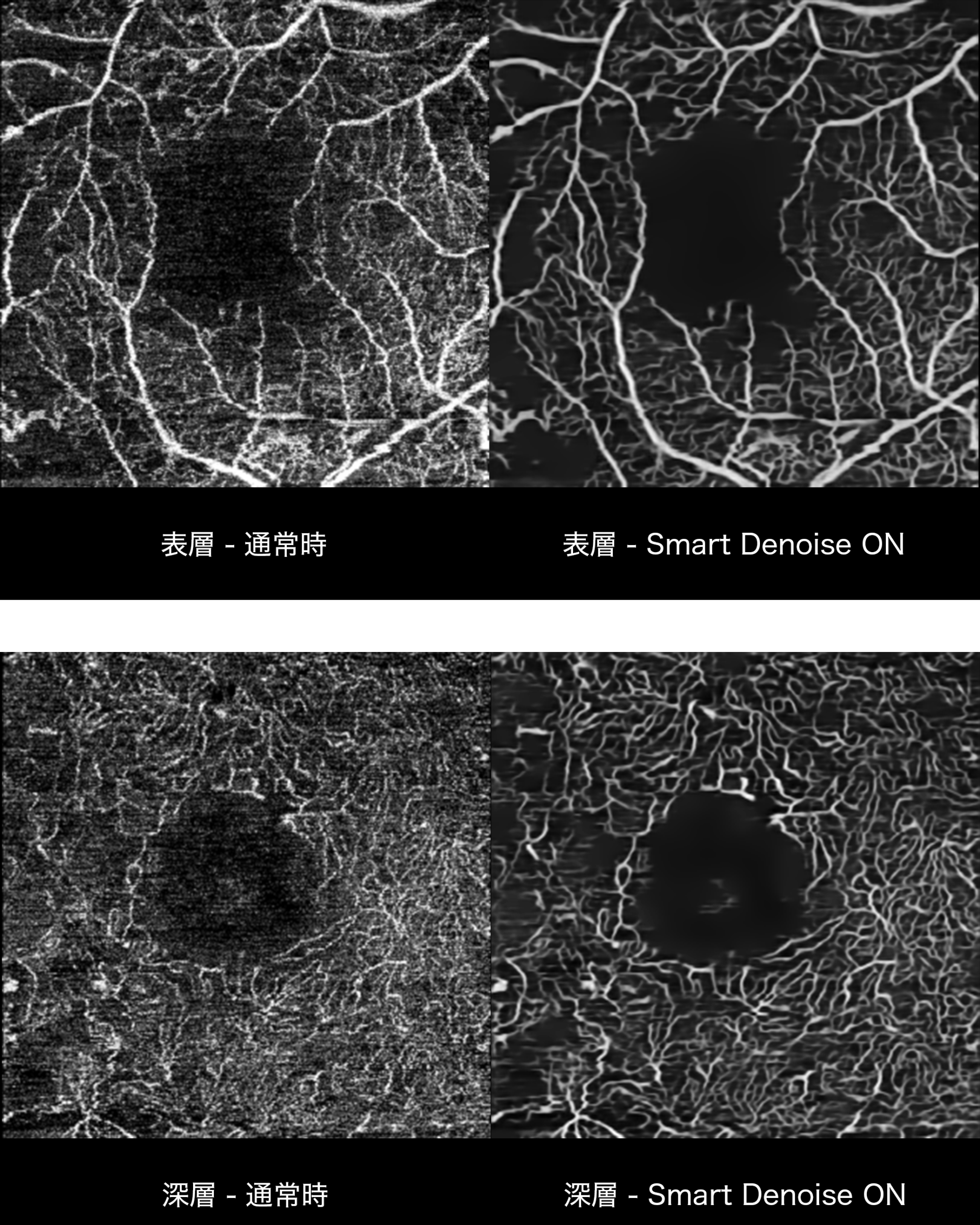
フルオートOCT Angiography

Maestro2はOCT-Angiography撮影機能を搭載しています。スキャン範囲は3.0×3.0mm、4.5×4.5mm、6.0×6.0mmから選択可能で、黄斑部と視神経乳頭部を中心として撮影した解析結果をPC画面やレポートとして表示することができます。Smart Denoise(AIによるノイズ除去機能)が利用可能になり、トプコン独自のノイズ除去技術によりアーチファクトが少なくコントラストの高いOCT-A画像が描写できます。
(Type: Maestro2)はカタログ記号です。
販売名:3次元眼底像撮影装置 3D OCT-1
医療機器認証番号:224AABZX00151000
販売名:眼科データ管理システム IMAGEnet6
医療機器認証番号:227AABZX00081000
お問い合わせフォーム
製品に関する質問から製品デモ、購入に関するお問い合わせは
下記のフォームからお問い合わせください。